赤坂ヴィーナスデンタルクリニック

https://www.venus-dental.com/clinic
赤坂ヴィーナスデンタルクリニックは、女性医師が院長を務める歯科クリニックです。院長はICOI(国際インプラント学会)指導医でもあり、審美性も追求したインプラント治療を得意としています。
また、院内には歯科技工士が常駐し、詰め物・被せ物をその場で製作できるのも強みです。診療室は完全個室で、プライバシーにも配慮されています。
赤坂ヴィーナス
デンタルクリニックの
口コミ評判
説明が丁寧で分かりやすく
安心できました
歯の汚れが気になり、こちらの病院に初めて来てみましたが、最初にしっかりと口の中の写真やレントゲンを撮影し、それを使って丁寧に説明していただきました。自分の歯周病の進行具合をわかりやすく教えていただけて良かったです。
仕上がりとスタッフの対応
すべてに満足しています
受付やスタッフの方々がホテルのような気持のよい対応をしてくれて、院長先生も歯の悩みや希望に真摯に向き合ってくれるので、不安なく治療を受けられました。セラミックの歯を製作する技工士の方と直接話すこともでき、仕上がりにも満足です。
治療後のメンテナンスも丁寧で、自分が通院した歯医者さんの中でこちらは一番だと思っています。
リラックスして治療が受けられる
クリニックです
(前略)インプラント治療や、マウスピース矯正、審美歯科など幅広く行っているとのことで、お口全体の相談にのっていただけました。今後の治療計画も自分に合ったプランを提案してもらえて、今後の治療が楽しみです。(後略)

赤坂ヴィーナスデンタルクリニックは
インプラント治療を受けたい方に
おすすめの歯科クリニック
ICOI(国際インプラント学会)指導医が在籍しているため、インプラント治療で口元の審美性を改善したい方には特におすすめできるクリニックでしょう。歯科技工士が院内に常駐しているのも見逃せないポイントです。
なお、当メディア「VISUUP」では、芸能人みたいな歯になりたいと思う方のために、おすすめの歯科クリニックを厳選して紹介しています。ぜひ参考にしてください。
赤坂ヴィーナス
デンタルクリニックの症例
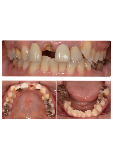
全顎治療


インプラント治療とセラミック治療の併用で、全体的に審美性を改善するための治療が行われました。歯の形、並び、色ともに不自然さがなく、見た目が美しく改善されています。
| リスク・副作用 | 治療終了後のメンテナンス不足による歯周病、歯ぎしりや過剰な噛み締めによるセラミックの破損 |
|---|---|
| 費用 | インプラント治療1本55万円(税込)、セラミック治療1本22万円(税込) |
| 期間 | 約7カ月 |
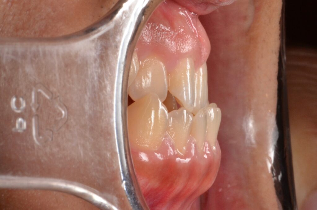
ワイヤー矯正治療


大学病院で顎の手術が必要と診断された20代男性の受け口を、ワイヤー矯正のみで治療した症例です。外科手術や抜歯は行わず、2年間かけて反対咬合を改善。事前の精密な診断が、的確な判断へと導きました。
| リスク・副作用 | リテーナーの不使用による矯正治療の後戻り |
|---|---|
| 費用 | 約125万円 (税別) |
| 期間 | 2年 |
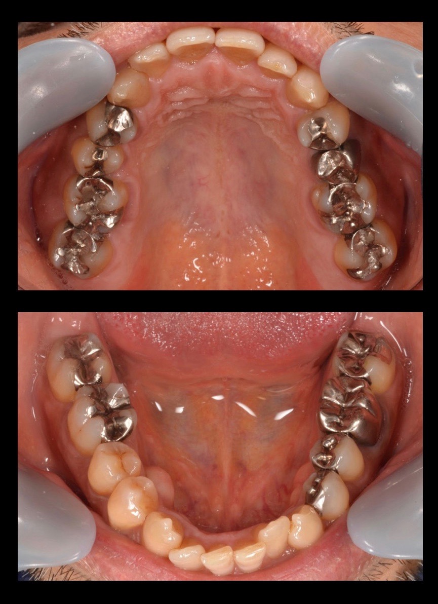
★メタルフリー治療


50代男性の、銀歯をなくしたいというご要望の症例です。レントゲンで発見された銀歯の下の虫歯を治療し、金属アレルギーのリスクもないセラミックで補綴。治療期間は2週間の短期間で、口の中が非常にスッキリした。味覚が良くなり食事が楽しみになったとのこと。
| リスク・副作用 | 治療終了後のメンテナンス不足による歯周病 歯ぎしりや過剰な噛み締めによるセラミックスの破折 |
|---|---|
| 費用 | 10万円/1本(税別) |
| 期間 | 2週間 |
赤坂ヴィーナス
デンタルクリニックが
提供する
主な美容歯科治療
矯正歯科
デーモンシステムというワイヤー矯正を採用し、従来の装置よりも痛みを軽減した矯正治療を提供しています。他にも、透明なブラケット装置、マウスピース型装置など、さまざまな矯正装置を用意。全矯正治療に5年間の保証が設定されています。
ホワイトニング
オフィスホワイトニングとホームホワイトニングの両方に対応しており、お好みに合わせて選択可能です。薬剤はウルトラデント社のopalescenceを使用しています。どちらも、治療前に行う歯のクリーニング(PMTC)を無料で提供しています。
インプラント
専用のオペ室を完備しており、ICOI(国際インプラント学会)指導医が直接手術を執刀。ストローマン社製のボーンレベルインプラントを採用し、10年の保証を設定しています。また、人工歯も機能性と審美性を追求し、院内に在籍する歯科技工士が製作を行なっています。
赤坂ヴィーナスデンタルクリニックが芸能人のような口元を目指す人におすすめな理由まとめ
赤坂ヴィーナスデンタルクリニックは、芸能人のように整った歯並びや白く美しい口元に憧れる一般の方にとって、現実的に通いやすく、満足度の高い治療が受けられる歯科クリニックです。
特に、審美性と機能性のバランスに優れた治療が特長で、院内に歯科技工士が常駐していることにより、患者さま一人ひとりのお顔立ちや笑ったときの見え方に合わせた細かな調整が可能です。詰め物や被せ物の色味・形状も、その場で技工士と相談しながら仕上げていけるため、「自然で美しい仕上がりにしたい」という方には大きな安心感が得られます。
また、インプラント治療を担当するのはICOI(国際インプラント学会)指導医の資格を持つ院長であり、見た目の美しさにもこだわった治療を提供しています。単に歯を補うのではなく、口元全体の印象まで美しく整える点が支持されている理由のひとつです。
そのほか、矯正治療やホワイトニングなどの審美メニューも充実しており、「歯並び・色・形をトータルで整えたい」「大切なイベントまでに綺麗な歯を手に入れたい」といったニーズにも応えてくれます。
診療室は完全個室で、プライバシーにも配慮されています。女性院長によるきめ細やかなカウンセリングも受けられるため、デリケートなお悩みでも安心して相談できる環境が整っています。
赤坂ヴィーナス
デンタルクリニックの基本情報
| 所在地 | 東京都港区赤坂2-3-5 赤坂スターゲートプラザ2F |
|---|---|
| アクセス | 銀座線「溜池山王」駅(10番出口)から徒歩1分 千代田線「赤坂」駅から徒歩7分 |
| 電話番号 | 03-3585-0081/03-3585-0082 |
| 公式URL | https://www.venus-dental.com/ |
東京の歯医者3選
盛れるEライン
実績をもとに
美しいフェイスラインへ導く
(https://anniversary-ginza.jp/doctor/)
電話番号:0120-666-842
自信がもてる歯並び
ブラックダイヤモンド
クリニック(※2)
電話番号:03-6435-0285
清潔感ある白い歯
ホワイトニング薬剤で
特許取得している(※3)
(https://www.whiteessence.com/clinic/tokyo/002/)
電話番号:0120-708-846
※1 参照元:アニバーサリーデンタルギンザ公式Instagram(https://www.instagram.com/faithdental_anniversarydental/)、2014年10月~2024年12月の実績
※2 参照元:ピュアリオ歯科・矯正歯科公式HP(https://purerio.tokyo/)、インビザライン・ジャパン合同会社よりブラックダイヤモンドプロバイダーと認定(2023年)。
※3 参照元:ホワイトエッセンス公式HP(https://www.whiteessence.com/clinic/tokyo/)、2024年10月調査時点
