麻布十番歯科・矯正歯科

https://www.azabu-dental.com/about_us/facilities.html
最寄り駅から徒歩10秒という好立地に位置する麻布十番歯科・矯正歯科。診療メニューを幅広く取り扱っているため、さまざまな歯や口元のお悩みに対応が可能です。
痛みに配慮した治療をコンセプトに掲げており、電動麻酔や表面麻酔などを使い分けて、痛みが苦手な人でも安心感を持って受けられる治療を目指しています。
麻布十番歯科・矯正歯科の
口コミ評判
これからもずっと通い続けたい
クリニックです
開業当時からお世話になっております。スタッフや先生がとても優しく痛い思いで行っても気分でも癒されてます。料金もえーこんなに安くて大丈夫?と何時も思っています。ここの歯医者さんに出会えた事に感謝です。
大体は此方の要望に答えてくれています。ずーっと通える事が願いです。何時もありがとうございます。
説明がとても丁寧で信頼できました
今まで通っていた歯医者さんとは比べ物にならないほど丁寧でした。何がというと、口の中の写真とレントゲンをしっかり見せてくれて、虫歯の場所とどういった治療が必要になるのかをしっかり説明してくれました。
また、治療において選択肢も用意してくれました。近く他の歯医者に通っていましたが、こちらに通わせてもらいます。(後略)
待ち時間なくいつもスムーズに
治療してくれます
受付から会計までの流れがスムーズなので、いつも待たされることが基本的にありません。スタッフの皆さんの対応も丁寧で挨拶もきちんとしてくれるので、毎回安心感を持って通院しています。
また、先生も診察や処置をいつも丁寧に行ってくれるため、信頼してお任せしています。いつも感謝の気持ちで一杯です。

麻布十番歯科・矯正歯科は
事前の丁寧な説明と治療に
期待ができる歯科クリニック
口コミを見ると、治療前の丁寧な説明とスタッフの細やかな対応が、クリニックの信頼につながっているようです。一般歯科にも対応しているので、審美性の向上に加えて、虫歯や歯周病等にも一貫して対応してもらうことができるでしょう。
なお、当メディア「VISUUP」では、芸能人みたいな歯になりたいと思う方のために、おすすめの歯科クリニックを厳選して紹介しています。ぜひ参考にしてください。
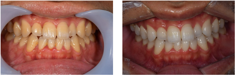
麻布十番歯科・矯正歯科の
症例
セラミックインレー

E-maxでできた詰め物です。E-maxは透明性があり、強度もある素材になります。そのため、セラミックの詰め物では一番おすすめしているのがこちらになります。
| リスク・副作用 | 金属を除去すると虫歯になっていることが多いです。 そのため、その虫歯を取り除く治療後にしみるといったことがおこります。 症状がおさまらない場合は、神経を取り除く必要があることもございます。 |
|---|---|
| 費用 | セラミックインレー:
合計165,000円(税込)(55,000円×3) ジルコニアステインクラウン: 110,000円(税込) |
| 期間 | 2ヶ月 |
ジルコニアクラウン

30代女性、奥歯の銀歯が気になるという症例です。古いブリッジを除去し、ジルコニア製のブリッジに替えました。1ヶ月の治療期間と165,000円の費用で、自然で美しい奥歯を手に入れました。
| リスク・副作用 | 治療後にしみる可能性が高くなります。 必要に応じて神経をとらないといけなくなることもあります。 |
|---|---|
| 費用 | ジルコニアブリッジ:165,000円(税込) |
| 期間 | 1ヶ月 |
ホワイトニング

30代女性のホワイトニング症例です。歯科医院で行う「オフィス」と自宅で行う「ホーム」を併用し、6ヶ月かけて歯の黄ばみを解消。費用55,000円で、透明感のある自然で美しい白い歯を実現しました。
| リスク・副作用 | 知覚過敏 |
|---|---|
| 費用 | 55,000円(税込) |
| 期間 | 6ヶ月 |
麻布十番歯科・矯正歯科が
提供する主な美容歯科治療
矯正歯科
ワイヤー矯正による治療を提供していますが、目立たない装置を希望の方には、裏側矯正やマウスピース矯正にも対応することが可能です。また、万が一虫歯や歯周病が見つかっても麻布十番歯科・矯正歯科であれば、まとめて治療してもらうことができます。
セラミック治療
グループ内に在籍する日本補綴歯科学会の専門医や認定医のもと、セラミック治療を提供しています。出っ歯やすきっ歯、歯並び、歯の色など幅広いお悩みに対応可能です。見た目に加えて、噛み心地、歯茎との調和性まで考えて治療を実施しています。
ホワイトニング
オフィスホワイトニング、ホームホワイトニング、デュアルホワイトニングの3プランから選ぶことができます。オフィスホワイトニングなら4,400円(税込)から開始が可能です。この日までに白くしてほしいなどの要望にも沿いながら、施術を進めてくれます。
麻布十番歯科・矯正歯科が芸能人のような口元を目指す人におすすめな理由まとめ
麻布十番歯科・矯正歯科は、「自然で美しい笑顔になりたい」「口元に自信を持ちたい」と願う一般の方にとって、非常に頼れる存在です。芸能人のような口元に憧れているけれど、どこから整えればいいか分からないという方にも、丁寧に寄り添ってくれるクリニックです。
こちらのクリニックでは、審美性と機能性の両面を重視した治療を行っており、セラミック治療やホワイトニングはもちろん、歯並びを整える矯正治療にも幅広く対応しています。グループ内には日本補綴歯科学会の専門医・認定医が在籍しており、見た目の美しさだけでなく、噛み心地や歯茎との調和にもこだわった治療が提供されているのが特徴です。
また、ワイヤー矯正のほかに、目立ちにくいマウスピース矯正や裏側矯正にも対応しているため、治療中の見た目が気になる方でも安心して通院することができます。ホワイトニングは4,400円(税込)からと始めやすく、「この日までに白くしてほしい」といった要望にも柔軟に応えてもらえるのも嬉しいポイントです。
さらに、治療前のカウンセリングや説明がとても丁寧で、患者さまが納得したうえで治療を進められるよう配慮されています。痛みに配慮した施術にも力を入れており、歯科治療に不安がある方でもリラックスして通える環境が整っています。
麻布十番歯科・矯正歯科の
基本情報
| 所在地 | 東京都港区東麻布3-8-8 明商ビル1F |
|---|---|
| アクセス | 都営地下鉄大江戸線または東京メトロ南北線「麻布十番」駅6番出口から徒歩10秒 |
| 電話番号 | 03-3505-4618 |
| 公式URL | https://www.azabu-dental.com/ |
東京の歯医者3選
盛れるEライン
実績をもとに
美しいフェイスラインへ導く
(https://anniversary-ginza.jp/doctor/)
電話番号:0120-666-842
自信がもてる歯並び
ブラックダイヤモンド
クリニック(※2)
電話番号:03-6435-0285
清潔感ある白い歯
ホワイトニング薬剤で
特許取得している(※3)
(https://www.whiteessence.com/clinic/tokyo/002/)
電話番号:0120-708-846
※1 参照元:アニバーサリーデンタルギンザ公式Instagram(https://www.instagram.com/faithdental_anniversarydental/)、2014年10月~2024年12月の実績
※2 参照元:ピュアリオ歯科・矯正歯科公式HP(https://purerio.tokyo/)、インビザライン・ジャパン合同会社よりブラックダイヤモンドプロバイダーと認定(2023年)。
※3 参照元:ホワイトエッセンス公式HP(https://www.whiteessence.com/clinic/tokyo/)、2024年10月調査時点
